降圧剤と歯肉増殖

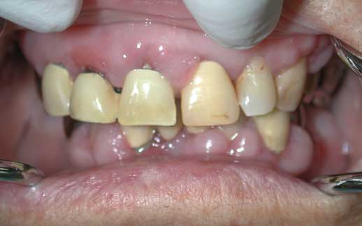
下の写真は血圧を下げるお薬のひとつ カルシウム拮抗薬の服用により生じた典型的な歯肉増殖です。

ノルバスク・アダラート・コニール・ヘルベッサーなどの降圧剤はカルシウム拮抗薬と呼ばれます。日本では、カルシウム拮抗薬の使用頻度は60%以上ときわめて高く、大変多くの患者さんが服用されていますが、副作用として歯肉増殖が起こることがあります。歯肉の繊維芽細胞によるコラーゲンの分解作用にはカルシウムイオンが必要ですが、カルシウム拮抗薬はカルシウムイオンの細胞内流入を阻害するため、コラーゲンをはじめとする細胞外其質の分解が減少し、細胞外其質の蓄積が起こり、歯肉の増殖を生じます。
カルシウム拮抗薬の服用中止・薬剤の変更は効果的ですが、肝心の血圧のコントロールが不安定になることもあります。ブラッシングや歯石除去で症状の軽減が認められますので、まずはお口の中を清潔に保つことが1番大切です。

 最近の話題